Dán sứ thẩm mỹ
Dán sứ thẩm mỹ là kỹ thuật phục hình răng thẩm mỹ phổ biến ở Châu Âu và Hoa Kỳ nhằm bảo tồn răng thật. Tuy nhiên, do tính phức tạp của công nghệ và yêu cầu cao về trình độ đối với bác sĩ, kỹ thuật viên nha khoa nên công nghệ này chưa được ứng dụng rộng rãi tại Việt Nam.
Nếu trước đây bạn đã cân nhắc đến làm răng thẩm mỹ, nhưng sợ phải loại bỏ nhiều răng thật như khi bọc răng sứ, thì kỹ thuật này là dành cho bạn.

Veneer sứ với độ mỏng 0.5-0.6mm.
Như vậy, Veneer sứ yêu cầu mài răng khá ít (đối với hệ thống CAD/CAM, Veneer sứ có thể làm với độ dày trung bình là 0.6mm). Vì mài răng ít, nên bác sĩ có thể bảo tồn răng thật và cùi răng một cách tối đa (gần 100% trường hợp dán sứ veneer không cần điều trị tủy). Mức độ ê buốt răng sau khi mài cũng thấp hơn nhiều so với khi thực hiện mão răng sứ.
Do mặt trong của răng thật được bảo tồn nên khi thực hiện mặt dán sứ veneer, đặc biệt là chỉ riêng hàm trên, cảm giác ăn nhai gần như được giữ nguyên, khác hẳn so với ban đầu.
Ngoài ra, do veneer sứ rất mỏng nên màu sắc của răng thật sẽ được phản chiếu ra bên ngoài, tạo thành màu tự nhiên gần giống với răng thật nhất.

Mặt dán sứ có thể điều chỉnh theo bất kỳ màu sắc nào mà bạn mong muốn. Từ răng châu Âu tự nhiên, đến răng trắng Hollywood, hoặc hình dạng và sự kết hợp màu sắc phù hợp với bạn nhất.
Những trường hợp nào nên dán sứ thẩm mỹ
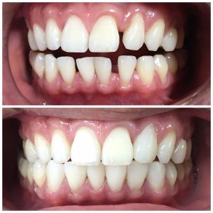
Dán sứ thẩm mỹ là giải pháp hoàn hảo mà bạn đang tìm kiếm khi răng gặp phải một trong các vấn đề sau:
-
Răng thưa, lộ kẽ hở khiến nụ cười kém duyên
-
Răng bị nhiễm màu, màu kháng sinh khiến nụ cười mất vẻ rạng rỡ
-
Răng có hình dạng to, nhỏ không đều, bị sứt mẻ nên bạn chẳng bao giờ dám cười thật tươi.
Liên hệ ngay hôm nay để được tư vấn miễn phí!
Những trường hợp nào không nên dán sứ thẩm mỹ
Không phải ai cũng có thể dán sứ veneer, vì nó không phù hợp với:
-
Răng khấp khểnh hoặc lệch lạc. Lúc này, điều trị chỉnh nha là phương pháp bạn cần đến.
-
Răng bị bệnh nha chu (viêm nướu).
-
Sâu răng hoặc răng (răng chết) đã được điều trị tủy.

Quy trình thực hiện dán sứ veneer
Toàn bộ quy trình dán sứ veneer thường được thực hiện trong vòng 2-3 lần hẹn, mỗi lần 5-7 ngày.
Lần hẹn thứ nhất
Nha sĩ của bạn sẽ thực hiện một cuộc kiểm tra toàn diện về răng của bạn để xác định xem răng của bạn có phù hợp với veneers hay không. Nếu phù hợp, bác sĩ sẽ tư vấn kỹ càng cho bạn biết nụ cười của bạn sẽ thay đổi như thế nào sau khi quá trình dán sứ thẩm mỹ hoàn tất.
Lần hẹn thứ hai
Bác sĩ sẽ mài một lớp mỏng trên răng với độ dày 0,5-0,6mm. Sau đó lấy dấu trong phòng thí nghiệm để làm mặt dán sứ veneer.
Lần hẹn thứ ba
Hãy thử dán veneer, được gắn vào răng bằng một loại keo đặc biệt gọi là xi măng nhựa.
Dán sứ thẩm mỹ veneer ở đâu tốt nhất?
Hiện nay có rất nhiều phòng khám nha khoa thực hiện dán sứ veneer, giá cả cũng khác nhau khiến bạn không biết phải làm sao. Để đưa ra quyết định dễ dàng hơn, hãy xem xét yếu tố quan trọng nhất ảnh hưởng trực tiếp đến kết quả cuối cùng.
Bác sĩ trực tiếp làm cho bạn
Độ đẹp của kết quả cuối cùng phụ thuộc hoàn toàn vào tay nghề của bác sĩ. Một nha sĩ có trình độ chuyên môn cao và giàu kinh nghiệm sẽ dễ dàng mang đến cho bạn hàm răng đều đẹp như mong muốn. Hơn nữa, liệu trình diễn ra nhẹ nhàng, tạo cảm giác thoải mái và an toàn.

Cơ sở vật chất và sự vô trùng của phòng khám
Phòng khám có trang thiết bị hiện đại, vô trùng sạch sẽ đảm bảo cho bạn có được kết quả như ý, tránh nhiễm trùng sau khi làm răng.

Kết quả, chất lượng được chứng nhận
Kiểm tra kết quả và ý kiến của những người khác đã làm răng tại phòng khám để biết chắc chắn liệu chất lượng có đúng như những gì nó tuyên bố hay không.
Thái độ phục vụ của nhân viên
Bạn có muốn đến một nơi mà bạn luôn được chào đón nồng nhiệt? Bạn muốn được tư vấn chi tiết, giải đáp mọi thắc mắc trước và sau khi tẩy trắng răng? Vì vậy, hãy chọn một địa điểm có thái độ chuyên nghiệp và dịch vụ khách hàng 24/7.
Chính vì vậy, Nha khoa Quốc tế Việt Smile luôn nỗ lực đáp ứng đầy đủ những yếu tố này để mang đến cho bạn nụ cười rạng rỡ và sự hài lòng tối đa.
Đặt lịch thay răng ngay hôm nay và tận hưởng dịch vụ dán sứ thẩm mỹ tốt nhất từ Nha khoa Quốc tế Việt Smile.

Nha khoa Quốc tế Việt Smile - Chất lượng tạo niềm tin
-
Địa chỉ: 04 Lê Lợi, Phường, Đồng Hới, Quảng Bình
-
Hotline: 0232 6333336 - 0968 737 322 - 0795 885 333
-
Website: nhakhoaquoctevietsmile.com
- Facebook: Nha Khoa Quốc Tế Việt Smile
LƯU Ý: NHA KHOA QUỐC TẾ VIỆT SMILE CHỈ CÓ MỘT CƠ SỞ DUY NHẤT TẠI TỈNH QUẢNG BÌNH


















