• Banner tháng 10 2025
  • Banner tháng 10 2025
3 4
Kỹ thuật cao

Bọc răng sứ thẩm mỹ

Bọc răng sứ thẩm mỹ là phương pháp thẩm mỹ nha khoa phổ biến nhất hiện nay. Nếu bạn bị mất răng, răng thưa, răng nhiễm màu, răng bị sâu, viêm tủy và các khiếm khuyết khác thì có thể khắc phục bằng răng sứ.

Hiện Nha khoa Quốc tế Việt Smile đang có ưu đãi 20% dịch vụ bọc răng sứ thẩm mỹ Quảng Bình, hãy liên hệ ngay cho chúng tôi nếu như quý khách đang quan tâm đến dịch vụ này nhé.

Bọc răng sứ thẩm mỹ là gì?

Bọc răng sứ thẩm mỹ là gì là phương pháp thẩm mỹ nha khoa an toàn, hiệu quả, phù hợp với mọi tầng lớp nam nữ, giúp bạn nhanh chóng có được hàm răng trắng đẹp tự nhiên. Ngoài ra, trồng răng sứ còn có thể giúp khôi phục chức năng ăn nhai tốt hơn trong các trường hợp mất răng, răng bị nứt, khớp cắn không tốt.

Bọc răng sứ thẩm mỹ là gì

Sở hữu hàm răng sứ đều, đẹp và sáng bóng là mơ ước của tất cả mọi người. Tuy nhiên, không phải ai cũng may mắn có được hàm răng đều đẹp như vậy. Nhưng dù thế nào đi nữa, bạn cũng đừng quá lo lắng nếu hàm răng của mình không được đẹp. Dịch vụ nha khoa hôm nay, bác sĩ nha khoa sẽ giúp bạn có một hàm răng sứ đẹp như ý muốn.

Với dịch vụ Bọc răng sứ thẩm mỹ tại Quảng Bình, bạn sẽ sở hữu nụ cười tự tin trong cuộc sống vì không chỉ khắc phục được tình trạng sứt mẻ mà còn điều trị hiệu quả cả răng thưa.

Về cách thức thực hiện, cầu răng hay implant được bọc sứ sao cho vừa khít với nướu một cách tự nhiên, giống như răng thật. Các chuyên gia nha khoa khuyên nên sử dụng bọc răng sứ thẩm mỹ cho các tình trạng sau, đó là: răng thưa, răng bị nứt, hô, móm nhẹ, răng nhiễmmàu, mất răng, gãy vỡ.

Những trường hợp nên bọc răng sứ thẩm mỹ

  • Người bị mất răng nhưng không có thời gian cấy ghép implant

  • Răng thưa gây khó coi hoặc tắc thức ăn

  • Răng bị nhiễm màu nhưng khi làm trắng không hiệu quả

  • Răng đã điều trị tủy khiến răng mất độ dẻo dai, dễ nứt vỡ

  • Răng hô, lộn xộn hơn có thể khắc phục được, bệnh nhân không muốn điều trị chỉnh nha

  • Sâu răng nặng nhưng khó khắc phục và hiệu quả không cao

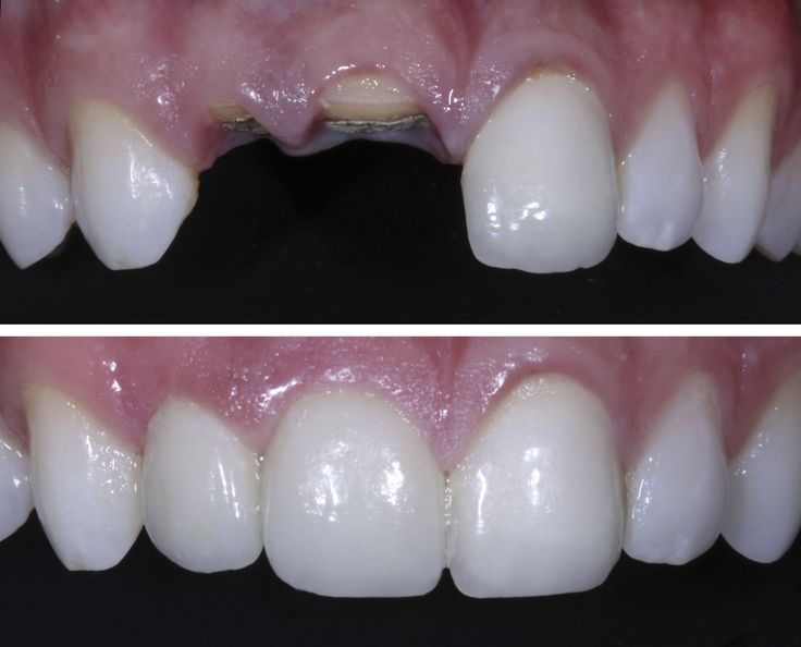
Phục hình cho người bị mất 2 răng cửa
Phục hình cho người bị mất 2 răng cửa


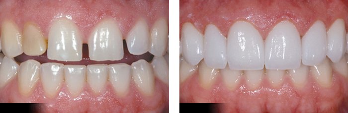
Bọc sứ thẩm mỹ Quảng Bình cho răng thưa kẽ

Bọc sứ thẩm mỹ Quảng Bình cho răng thưa kẽ

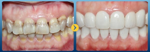
Bọc sứ thẩm mỹ cho răng nhiễm màu kháng sinh

Bọc sứ thẩm mỹ cho răng nhiễm màu kháng sinh

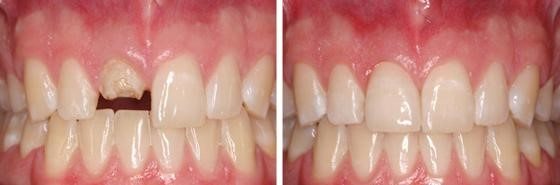
Mặt dán sứ cho răng cửa gãy, vỡ

Mặt dán sứ cho răng cửa gãy, vỡ

Nha khoa Quốc tế Việt Smile tự hào là một trong những địa chỉ Nha khoa Thẩm mỹ uy tín . Đơn vị quy tụ các bác sĩ có chuyên môn, y đức cao cùng cơ sở vật chất hiện đại giúp bạn có hàm răng đều đẹp và tự tin hơn trong cuộc sống.

Quy trình bọc răng sứ thẩm mỹ tại Nha khoa Quốc tế Việt Smile

Cách bọc răng sứ thẩm mỹ tại Nha khoa Quốc tế Việt Smile sẽ tiết kiệm rất nhiều thời gian và công đoạn bởi chúng tôi có hệ thống labo phù hợp giúp đẩy nhanh quá trình Phục hình sứ. Nếu số lượng răng ít và khách hàng cần răng khẩn cấp thì có thể thực hiện trong vòng 1-2 ngày.

Quy trình thông thường bao gồm 4 bước:

  • Bước 1: Thăm khám, tư vấn, kiểm tra tổng quát, vệ sinh răng miệng, chọn màu răng sứ và lấy dấu răng tạm.

  • Bước 2: Bác sĩ chuẩn bị răng và lắp răng tạm.

  • Bước 3: thử sườn răng sứ.

  • Bước 4: Hoàn tất quá trình gắn răng sứ.

Nếu khách hàng không có thời gian, quy trình có thể được rút ngắn với sự hỗ trợ tuyệt đối của đội ngũ kỹ thuật viên Nha khoa Quốc tế Việt Smile - Phòng khám nha khoa Quảng Bình.

Bọc răng sứ sử dụng được bao lâu?

Thời gian thông thường cho 2 hàm phục hình từ 16-20 răng là 3-5 ngày, chưa bao gồm điều trị tủy. Nếu phục hình từ 1 đến 4 răng thì có thể hoàn thành trong 1 đến 2 ngày.

Hiện nay, tại Nha khoa Quốc tế Việt Smile, các dòng răng sứ được cung cấp bao gồm răng sứ kim loại, răng sứ và mặt dán sứ veneer.

Răng sứ kim loại (Mỹ) có tác dụng tốt trong 2-5 năm đầu, nhưng sau đó màu nướu sẽ thay đổi nên không thẩm mỹ.

Răng toàn sứ (USA) là loại răng sứ có cấu tạo khung sườn bằng hợp kim thuần khiết, có độ bền chắc cao và tính tương thích sinh học tốt. Mặt ngoài của răng được phủ một lớp sứ đảm bảo răng sứ tự nhiên có hình dáng và màu sắc giống như răng thật.

Bọc răng sứ sử dụng được bao lâu?

Những chiếc răng sứ được phủ bởi một lớp sứ để giống như những chiếc răng thật
 

Ưu điểm của loại răng toàn sứ này là dễ thao tác, không cần lấy nhiều mô răng, không đòi hỏi tay nghề thợ cao, đồng thời có thể sử dụng để phục hình răng thẩm mỹ. Răng toàn sứ phù hợp với những bệnh nhân bị dị ứng với kim loại, có khoang tủy rộng và không thể sử dụng răng toàn sứ.

Răng toàn sứ sẽ trắng vĩnh viễn, không gây đổi màu nướu nên được Nha khoa Quốc tế Việt Smile khuyên dùng bởi tính thẩm mỹ cao và tính tương thích sinh học tốt.

Những chiếc răng sứ sẽ có tính thẩm mỹ rất cao, tạo nụ cười tự tin dành cho bạn
Những chiếc răng sứ sẽ có tính thẩm mỹ rất cao, tạo nụ cười tự tin dành cho bạn

​​​​​

Chi phí bọc răng sứ thẩm mỹ tại Nha khoa Quốc tế Việt Smile

Dưới đây là chi phí bọc răng sứ thẩm mỹ tại Nha khoa Quốc tế Việt Smile và chỉ mang tính chất tham khảo. Để biết mức giá chính xác của dịch vụ bọc răng sứ thẩm mỹ, quý khách vui lòng liên hệ ngay đến Hotline: 098 894 6695 của Việt Smile để được tư vấn.
 

Trồng răng sứ kim loại (Mỹ)

800.000đ

Trồng răng toàn sứ

1.200.000đ

Trồng răng sứ Zirconia

2.300.000 - 3.000.000đ

Trồng răng sứ Emax

4.000.000 - 5.000.000đ

Trồng răng sứ Cercon (Mỹ)

3.400.000 - 4.000.000đ

Trồng răng sứ Lava (Mỹ)

5.000.000 - 6.000.000đ


Trên đây là bài viết tổng quát về dịch vụ bọc răng sứ thẩm mỹ tại Nha khoa Quốc tế Việt Smile. Nếu bạn đang có thắc mắc về dịch vụ bọc răng sứ, đừng ngần ngại mà hãy liên hệ ngay đến HOTLINE của Việt Smile hoặc đến trực tiếp Phòng khám để được tư vấn thêm.

Nha khoa quốc tế Việt Smile

Nha khoa Quốc tế Việt Smile - Chất lượng tạo niềm tin


LƯU Ý: NHA KHOA QUỐC TẾ VIỆT SMILE CHỈ CÓ MỘT CƠ SỞ DUY NHẤT TẠI TỈNH QUẢNG BÌNH

Có thể bạn quan tâm
Chỉnh nha cố định
Chỉnh nha cố định hiện là phương pháp hiệu quả để khắc phục các khuyết điểm về răng. Hiện đây là sự lựa chọn ưu tiên của rất nhiều khách...
Niềng răng hô móm
Bạn đã nghe đến cụm từ niềng răng bao giờ chưa? Khoảng 5 năm trước, thuật ngữ này có thể còn xa lạ, nhưng ngày nay nó đã quen thuộc...
Cấy ghép Implant
Chẳng may mất một hay nhiều chiếc răng khiến bạn gặp phải những vấn đề gây trở ngại trong việc ăn nhai, giao tiếp hằng ngày? Bạn đang muốn trồng cấy...
Dán sứ thẩm mỹ
Veneer, hay còn gọi là Laminate sứ (tại Việt Nam cũng có nơi gọi là mặt dán sứ), là kỹ thuật phục hình thẩm mỹ bảo tồn răng thật khá phổ biến tại Mỹ...